ABSTRACT
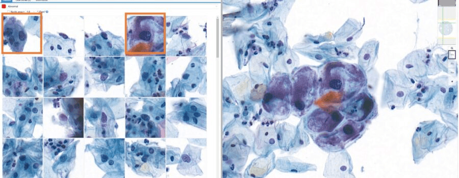
With the advent of whole slide image (WSI) scanners, pathology is undergoing a digital revolution. Simultaneously, with the development of image analysis algorithms based on artificial intelligence tools, the application of computerized WSI analysis can now be expected. However, transferring such tools into clinical practice is very challenging as they must deal with many artifacts that can occur during sample preparation and digitization. Therefore, the quality of WSIs is of prime importance, and we propose a review of the state-of-the-art of computational approaches for quality control. In particular, we focus on WSI quality issues related to the presence of sample preparation artifacts, compression artifacts, color variations, and out-of-focus areas. An analysis of the monthly WSI clinical routine in a cytological laboratory conrms the importance of implementing quality control measures. Given this observation, we draw perspectives on how a computational quality process can be included in a computational pathology diagnosis pipeline.
Link to others articles :


