Home

Company

Solutions

Resources

Partners

Contact

EN

FR

Request a demo

Get a demo

Menu

Get a demo

Menu

Get a demo

FR

EN

NAVIGATION

NAVIGATION

Home

Company

Products

Ressources and Insights

Partners

Contact

PRODUCTS

NAVIGATION
NAVIGATION

CytoProcessor

CytoLearning

CONTACT

LinkedIn

Resources and Insights

Stay informed about Datexim’s latest developments in digital pathology.

View all

News

Scientific Evidence

1 million slides processed with Cytoprocessor AI in clinical cytology

MARCH 25 2026

1 Million Slides Processed

1 Million slides processed in clinical routine with CytoProcessor®!

Announcement of CytoProcessor® go-live at Pathologie Trier laboratory

JANUARY 20 2026

Go Live – Pathologie Trier

We are thrilled to announce that Datexim largest German implementation is now live!

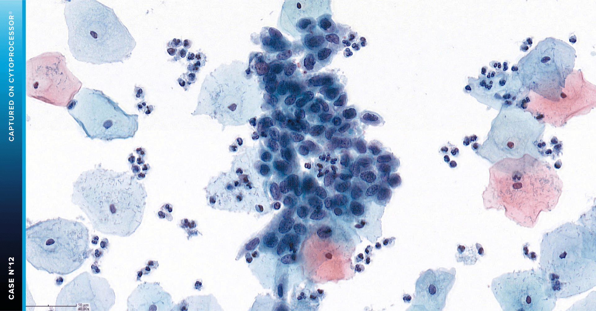
Case study demonstrating koilocyte detection with CytoProcessor® AI

JANUARY 14 2026

CytoProcessor® - Annette's Case n°17

CytoProcessor® shows the presence of koilocytes.

Article marking Datexim’s 15 years in digital cytology and reflecting on future developments

JANUARY 1 2026

Datexim – Celebrating its 15th Anniversary

Celebrating a Landmark Year and Advancing the Future

Case study highlighting AI-based cervical cancer screening in 2025 using CytoProcessor®

JANUARY 28 2025

CytoProcessor® - Annette's Case n°16

Cervical Cancer Screening in 2025.

Case study illustrating microorganism detection with CytoProcessor® AI in cervical screening

OCTOBER 1 2024

CytoProcessor® - Annette's Case n°15

Detection of Microorganism in the battle against Cervical Cancer with Datexim’s CytoProcessor®.

24-26 rue Saint Martin

14 000 Caen, France

+ 33 2 31 43 62 35

COMPANY

Home

Datexim

Partners

Team

SOLUTIONS

CytoProcessor®

CytoLearning

FAQ

RESOURCES

News

Research & Publications

Back to top

© 2026 DATEXIM - DIGITAL CYTOLOGY & AI

Legal Notice

Privacy Policy

24-26 rue Saint Martin

14 000 Caen, France

+ 33 2 31 43 62 35

Back to top

COMPANY

Home

Datexim

Partners

Team

SOLUTIONS

CytoProcessor®

CytoLearning

FAQ

RESOURCES

News

Research & Publications

© 2026 DATEXIM - DIGITAL CYTOLOGY & AI

Legal Notice

Privacy Policy

24-26 rue Saint Martin

14 000 Caen, France

+ 33 2 31 43 62 35

COMPANY

Home

Datexim

Partners

Team

SOLUTIONS

CytoProcessor®

CytoLearning

FAQ

RESOURCES

News

Research & Publications

Back to top

© 2026 DATEXIM - DIGITAL CYTOLOGY & AI

Legal Notice

Privacy Policy