News
CytoProcessor® - Annette's Case n°12
APRIL 15 2024
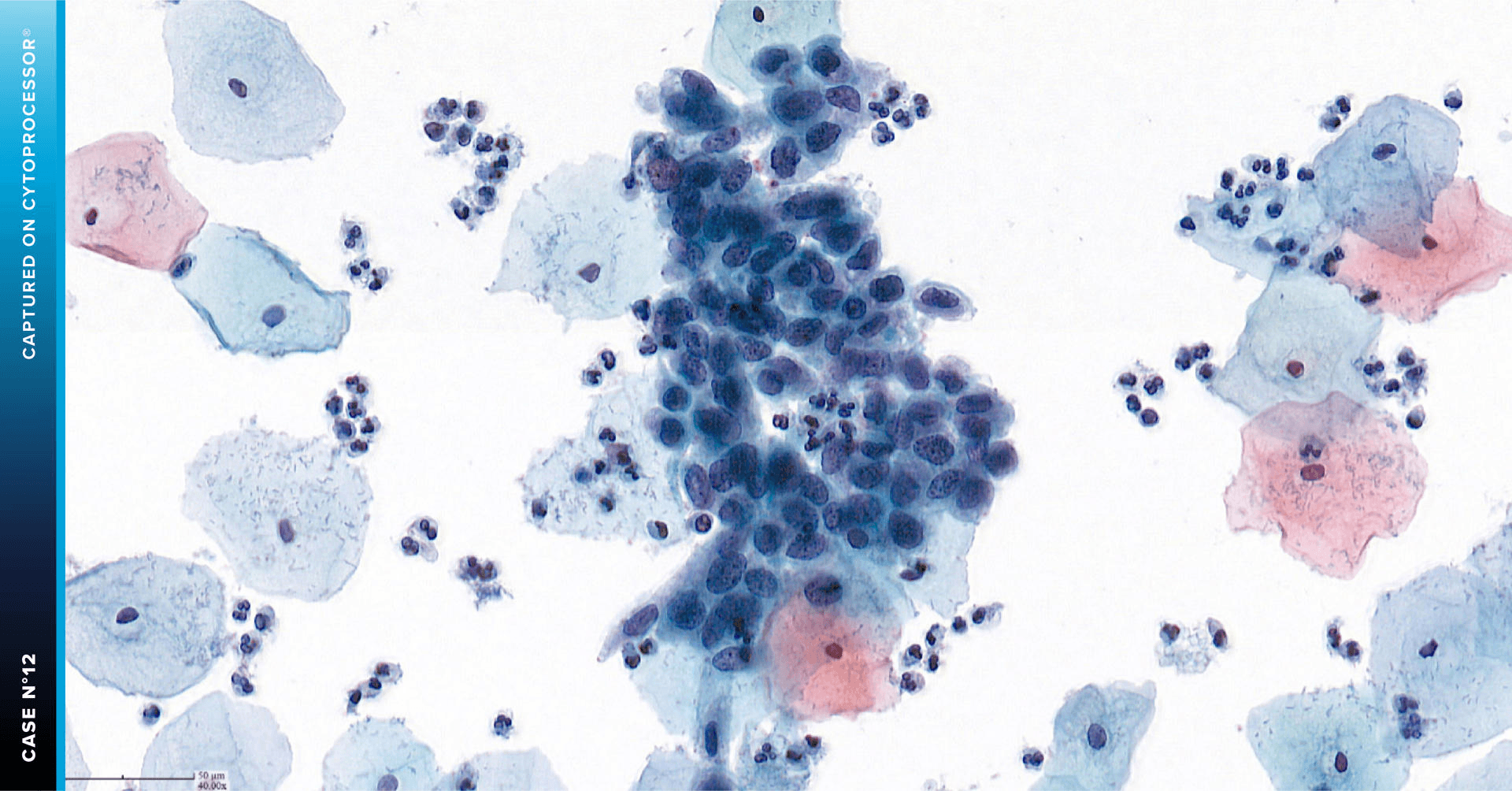
CytoProcessor A.i. for Digital Cytology supports in case of pitfalls in Cervical Cytology Screening:
as example HSIL – Endocervical Glandular Involvement (EGI)
As a Cytotechnologist or Cyto-Pathologist you must have optimal sample collections, in the screening for Cervical Cancer, for making accurate diagnoses.
The samples should include cells from both the transformation zone and the endocervical glandular invaginations.
Having an accurate reliable diagnosis is important as it influence on the clinical treatment plan, especially in cases of HSIL – EGI.
CytoProcessor aids the screener by showing on the first page of the abnormal gallery appropriate to the diagnosis of HSIL-EGI the commonly present:
grape bunch shaped look-alikes syncytial-like cell crowded groups of squamous cells with high NCR, anisonucleose, coarse chromatin pattern, even mimicking glandular differentiation as rosette-like structures and micro-acini can be seen.
naked atypical nuclei - who are often present
isolated HSIL cells showing the basics of the cytological criteria for HSIL lesions: high N:C ratio, uneven distributed coarse chromatin pattern, dense cytoplasm, and irregular membrane.
Suboptimal performed samples, containing just a few abnormal cells, can lead to miss diagnosing.
Note: HSIL-EGC lacks the specific features for AIS, such as feathering and pseudostratification.
Fact: HSIL and AGC/AIS could be present in the same case.
https://www.sciencedirect.com/science/article/abs/pii/S2213294520300211
Journal of Pathology and Translational Medicine
CytoProcessor® is a CE marked IVDs. The device is intended for use by healthcare professionals only. Please refer to the conditions of use recommended by the manufacturer DATEXIM by consulting the user guide.
#datexim #cytoprocessor #digitalpathology #cytology #cervicalcancer



Link to others articles :


