News
CytoProcessor® - Annette's Case n°7
AUGUST 31 2022
Cytologists and Cyto-Pathologists, did you know that about 1.2 million cells are collected from the cervix for Cervical Cancer Screening?
And that during processing the LBC-vials, about 70.000 cells are transferred to the glass slide?
Thus, for every single slide, all these 70.000 cells must be examinated by you, to find the abnormal cells, even when they are just a few ones on the glass slide.
Imagine how many cells you are looking at every day with your microscope! After 15 LBC-slides you have already seen more than a million cells.
Did you analyze every single cell and its nuclear details one by one?
This is not possible with human eyes within a standard average time per slide about 5 minutes!
DATEXIM developed, based on Artificial Intelligence, a solution for analyzing cells and nuclear details for Cervical Cancer Screening.
CytoProcessor® is CE-marked and is used by Cytologists and Cyto-Pathologists every day since 2018. It was really the first AI used in cytology to make diagnosis.
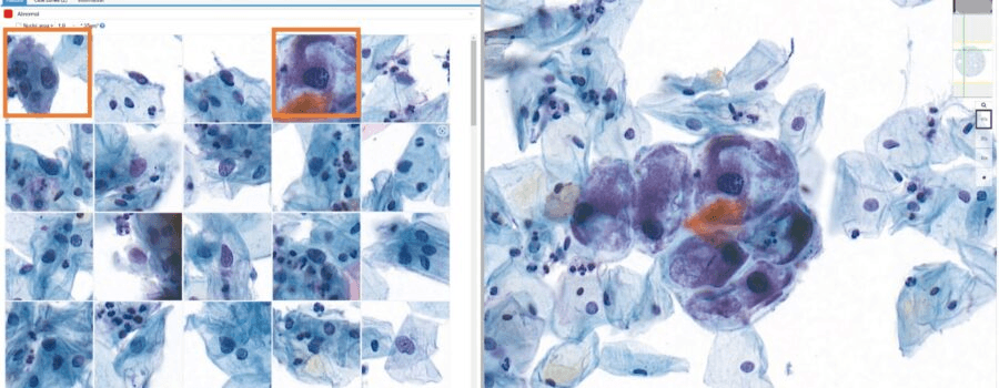
After scanning a slide, CytoProcessor® analyzes all detected nuclei, on the whole slide, using up to 224 visual features computed for each nucleus. The AI uses these data to categorize the cells as abnormal or normal. The abnormal ones are then displayed in a gallery sorted by relevance for the diagnosis.
Even when there are only a few abnormal nuclei on the glass slide.
See picture with a few ASC-US cells.
CytoProcessor® works 24/7 with the same algorithm to find these abnormal cells on every slide.
It makes diagnosing more accurate, more reliable, and therefore it brings a higher sensitivity, up to 98%, to your lab and to all the women behind the PAP-smears who deserve the most reliable solution for Cervical Cancer Screening.
Cytologists and Cyto-Pathologists, to make it easier for you, the detected abnormal or prevalent nuclei are shown to you at first glance using CytoProcessor® for Cervical Cancer Screening.
CytoProcessor® brings comfort when you diagnose more reliably and accurately your LBC-slides, while allowing you to save time, even remotely if you want it!
✅ CytoProcessor® can be used with Hologic ThinPrep and #ILSA preparation.
✅ CytoProcessor® is validated for #Hamamatsu
and #3DHistech scanners.
Interested in Datexim’s solution, CytoProcessor®, for Digital Cytology?
Please visit our website 👉 www.datexim.ai
– Annette W., Digital Cytology Expert CTIAC at Datexim

Link to others articles :


